Su detección tardía reduce las posibilidades de vencer… NO IGNORE ESTAS SEÑALES
El cáncer de boca o cáncer oral es más común de lo que usted cree. Por lo menos cada hora una persona muere de cáncer. Esto se debe a su detección tardía, la enfermedad sorprende a la persona cuando es demasiado tarde. Aproximadamente 48,250 casos son diagnosticados con esta enfermedad en los Estados Unidos. Incluido el cáncer de faringe. Se estima que casi 9.575 personas perecerán a causa de este mal.
El cáncer de boca se encuentra entre los cánceres de cabeza y cuello. Representando el 85% de todos los casos. Su alta tasa de mortalidad, debido a su detección tardía, la hace mucho más peligrosa. La persona se da cuenta de que lo tiene cuando ya ha hecho metástasis en otra parte del cuerpo. Especialmente cuando se propaga a los ganglios linfáticos del cuello. Esto reduce drásticamente la esperanza de vida, ya que es peor que si se ubicara sólo en la cavidad oral.
Síntomas del cáncer de boca
- Úlceras bucales persistentes
- Dificultad o problemas para mover la mandíbula, masticar o hablar.
- Dolor de oídos
- Pérdida de peso dramática
- Sangrado bucal al azar
- Ronquidos frecuentes e inexplicables
- Hinchazón de labios o encías.
- Así como la detección de carne en las mejillas.
- Entumecimiento
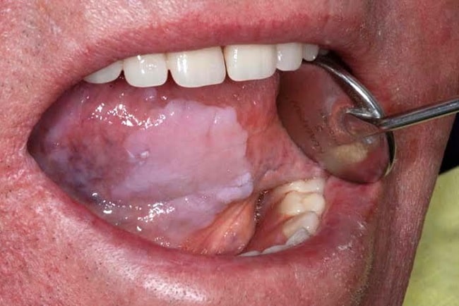
- Presencia de color rojo o una mezcla entre blanco aterciopelado y rojo en la mucosa de la boca.
- Sensibilidad o dolor en el cuello, la boca o las mejillas.
¿Quiénes son más propensos a desarrollar cáncer bucal? Los hombres son más propensos, siendo los mayores de 50 años los más vulnerables. De hecho, es el sexto cáncer más común en los hombres. Otras personas vulnerables a contraer la enfermedad son los fumadores (de puros y pipas) y las personas que mastican tabaco.
Personas con antecedentes familiares de este tipo de cáncer.
¿Cómo prevenir el cáncer oral o el cáncer de boca?
No fume ni consuma productos de tabaco. No beba alcohol Consuma una dieta balanceada, haga ejercicios, tenga cuidado con la exposición al sol y visite a su médico para una evaluación periódica cada año.
Sin embargo, usted debe evaluarse cada mes. Delante de un espejo dental (esos que tienen una luz brillante y agranda las imágenes), mira si hay alguna señal de lo que hemos mencionado aquí. También sienta sus ganglios linfáticos, si nota que están hinchados, visite a su médico.

